O suco ideal para quem quer perder peso (faz-se em cinco minutos)
Agora os excessos alimentares cometidos nos finais de semanas, feriados e festas estão para acabar…Está na hora de desintoxicar! Pronto para um ‘detox’?
Leia mais
Agora os excessos alimentares cometidos nos finais de semanas, feriados e festas estão para acabar…Está na hora de desintoxicar! Pronto para um ‘detox’?
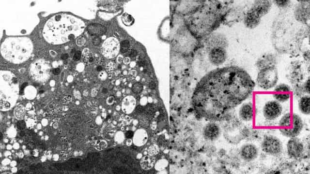
Leia maisSÃO PAULO, SP (FOLHAPRESS) – Dois cientistas da Universidade de Hong Kong divulgaram nesta terça-feira (8) as duas primeiras imagens da variante ômicron,
Leia maisNos últimos anos, o retinol tornou-se a sensação dos cosméticos. Trata-se de derivado da vitamina A e pertence ao grupo dos retinóides, descobertos
Leia maisQualquer pessoa pode enfrentar episódios súbitos e intensos de medo que desencadeiam um conjunto de reações físicas, como o aumento da frequência cardíaca,
Leia maisA azia não lhe dá descanso? Nota uma sensação de ardor no peito, como se estivesse a queimar? Não ignore os sinais. Pode
Leia maisAlgumas crianças estão desenvolvendo erupções cutâneas quando são infectadas pela nova estirpe do vírus SARS-CoV-2, designada Ômicron, avisa o médico britânico David Llyod,
Leia maisSÃO PAULO, SP (FOLHAPRESS) – O sildenafil, substância que compõe o Viagra, pode reduzir o desenvolvimento de Alzheimer em até 69% quando é
Leia maisAstrologia é um assunto fascinante de estudar porque sempre traz alguns insights sobre nós mesmos. Por exemplo, se você é um leonino, provavelmente
Leia maisHá quem adore tomar um bom banho sempre que pode – duas ou três vezes por dia – e outros que encaram este
Leia maisCom a chegada de dezembro, surgem diversas confraternizações reunindo amigos e familiares. Está sem ideia do que servir nos encontros? Então veja essa
Leia mais
Isso vai fechar em 0 segundos